中文名稱:兔抗XRCC3多克隆抗體
|
Background: |
This gene encodes a member of the RecA/Rad51-related protein family that participates in homologous recombination to maintain chromosome stability and repair DNA damage. This gene functionally complements Chinese hamster irs1SF, a repair-deficient mutant that exhibits hypersensitivity to a number of different DNA-damaging agents and is chromosomally unstable. A rare microsatellite polymorphism in this gene is associated with cancer in patients of varying radiosensitivity. |
|
Applications: |
WB, IHC |
|
Name of antibody: |
XRCC3 |
|
Immunogen: |
Synthesized peptide derived from Internal of human XRCC3. |
|
Full name: |
X-ray repair complementing defective repair in Chinese hamster cells 3 |
|
Synonyms: |
CMM6 |
|
SwissProt: |
O43542 |
|
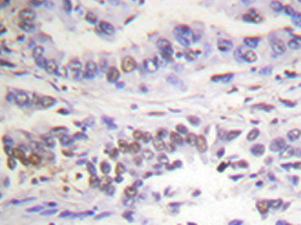
IHC positive control: |
Human lung carcinoma tissue |
|
IHC Recommend dilution: |
50-100 |
|
WB Predicted band size: |
38 kDa |
|
WB Positive control: |
HepG2 cells treated with Adriamycin (0.5uM, 5hours) lysate |
|
WB Recommended dilution: |
500-3000 |

購(gòu)物車
幫助
021-54845833/15800441009
