中文名稱:兔抗XRCC6多克隆抗體
|
Background: |
The p70/p80 autoantigen is a nuclear complex consisting of two subunits with molecular masses of approximately 70 and 80 kDa. The complex functions as a single-stranded DNA-dependent ATP-dependent helicase. The complex may be involved in the repair of nonhomologous DNA ends such as that required for double-strand break repair, transposition, and V(D)J recombination. High levels of autoantibodies to p70 and p80 have been found in some patients with systemic lupus erythematosus. |
|
Applications: |
ELISA, IHC |
|
Name of antibody: |
XRCC6 |
|
Immunogen: |
Fusion protein of human XRCC6 |
|
Full name: |
X-ray repair complementing defective repair in Chinese hamster cells 6 |
|
Synonyms: |
ML8, KU70, TLAA, CTC75, CTCBF, G22P1 |
|
SwissProt: |
P12956 |
|
ELISA Recommended dilution: |
1000-5000 |
|
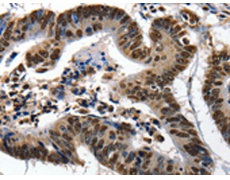
IHC positive control: |
Human colon cancer and human ovarian cancer |
|
IHC Recommend dilution: |
10-50 |
購物車
幫助
021-54845833/15800441009
