中文名稱:兔抗ZNF266多克隆抗體
|
Background: |
This gene encodes a protein containing many tandem zinc-finger motifs. Zinc fingers are protein or nucleic acid-binding domains, and may be involved in a variety of functions, including regulation of transcription. This gene is located in a cluster of similar genes encoding zinc finger proteins on chromosome 19. Alternative splicing results in multiple transcript variants for this gene. |
|
Applications: |
ELISA, IHC |
|
Name of antibody: |
ZNF266 |
|
Immunogen: |
Fusion protein of human ZNF266 |
|
Full name: |
zinc finger protein 266 |
|
Synonyms: |
HZF1 |
|
SwissProt: |
Q14584 |
|
ELISA Recommended dilution: |
5000-10000 |
|
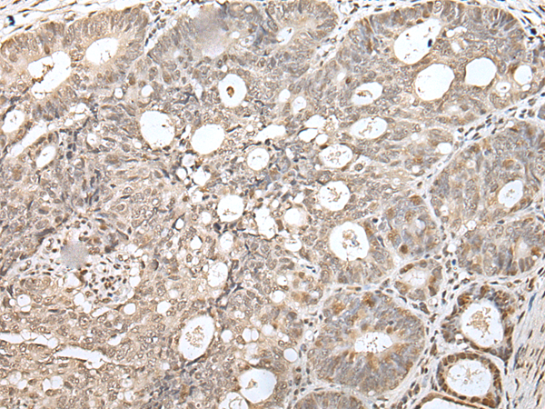
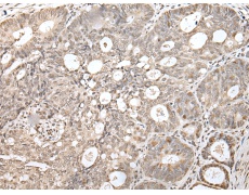
IHC positive control: |
Human gastric cancer and human esophagus cancer |
|
IHC Recommend dilution: |
25-100 |

購物車
幫助
021-54845833/15800441009
