中文名稱:兔抗ZNF486多克隆抗體
|
Background: |
Zinc-finger proteins contain DNA-binding domains and have a wide variety of functions, most of which encompass some form of transcriptional activation or repression. The majority of zinc-finger proteins contain a Krüppel-type DNA binding domain and a KRAB domain, which is thought to interact with KAP1, thereby recruiting histone modifying proteins. As a member of the krueppel C2H2-type zinc-finger protein family, ZNF486 (Zinc finger protein 486), also known as KRAB domain only protein 2, is a 216 amino acid nuclear protein that contains one KRAB domain and two C2H2-type zinc fingers. The gene encoding ZNF486 maps to human chromosome 19, which consists of over 63 million bases, houses approximately 1,400 genes and is recognized for having the greatest gene density of the human chromosomes. May be involved in transcriptional regulation. |
|
Applications: |
ELISA, IHC |
|
Name of antibody: |
ZNF486 |
|
Immunogen: |
Fusion protein of human ZNF486 |
|
Full name: |
zinc finger protein 486 |
|
Synonyms: |
KRBO2 |
|
SwissProt: |
Q96H40 |
|
ELISA Recommended dilution: |
5000-10000 |
|
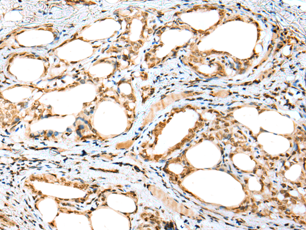
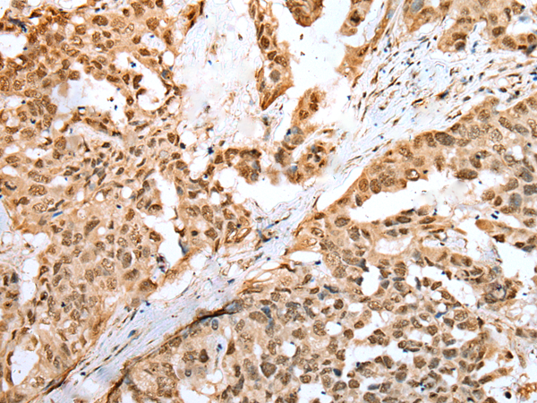
IHC positive control: |
Human breast cancer and human thyroid cancer |
|
IHC Recommend dilution: |
25-100 |

購物車
幫助
021-54845833/15800441009
