中文名稱: 兔抗ADAMTS9多克隆抗體
|
Background: |
This gene encodes a member of the ADAMTS (a disintegrin and metalloproteinase with thrombospondin motifs) protein family. Members of the family share several distinct protein modules, including a propeptide region, a metalloproteinase domain, a disintegrin-like domain, and a thrombospondin type 1 (TS) motif. Individual members of this family differ in the number of C-terminal TS motifs, and some have unique C-terminal domains. Members of the ADAMTS family have been implicated in the cleavage of proteoglycans, the control of organ shape during development, and the inhibition of angiogenesis. This gene is localized to chromosome 3p14.3-p14.2, an area known to be lost in hereditary renal tumors. |
|
Applications: |
ELISA, IHC |
|
Name of antibody: |
ADAMTS9 |
|
Immunogen: |
Synthetic peptide of human ADAMTS9 |
|
Full name: |
ADAM metallopeptidase with thrombospondin type 1 motif, 9 |
|
SwissProt: |
Q9P2N4 |
|
ELISA Recommended dilution: |
5000-10000 |
|
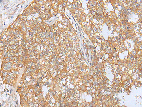
IHC positive control: |
Human esophagus cancer and Human lung cancer |
|
IHC Recommend dilution: |
25-100 |
購物車
幫助
021-54845833/15800441009
