中文名稱:小鼠抗CKMT1B單克隆抗體
|
Background: |
Mitochondrial creatine (MtCK) kinase is responsible for the transfer of high energy phosphate from mitochondria to the cytosolic carrier, creatine. It belongs to the creatine kinase isoenzyme family. It exists as two isoenzymes, sarcomeric MtCK and ubiquitous MtCK, encoded by separate genes. Mitochondrial creatine kinase occurs in two different oligomeric forms: dimers and octamers, in contrast to the exclusively dimeric cytosolic creatine kinase isoenzymes. Many malignant cancers with poor prognosis have shown overexpression of ubiquitous mitochondrial creatine kinase; this may be related to high energy turnover and failure to eliminate cancer cells via apoptosis. Ubiquitous mitochondrial creatine kinase has 80% homology with the coding exons of sarcomeric mitochondrial creatine kinase. Two genes located near each other on chromosome 15 have been identified which encode identical mitochondrial creatine kinase proteins. |
|
Applications: |
WB |
|
Name of antibody: |
CKMT1B |
|
Immunogen: |
Fusion protein of human CKMT1B |
|
Full name: |
creatine kinase, mitochondrial 1B |
|
Synonyms: |
creatine kinase, mitochondrial 1B |
|
SwissProt: |
P12532 |
|
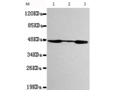
WB Predicted band size: |
47 kDa |
|
WB Positive control: |
Mouse Colon tissue, 293 and A431 cell lysates |
|
WB Recommended dilution: |
1000-5000 |
購物車
幫助
021-54845833/15800441009
