中文名稱: 兔抗ACSBG2多克隆抗體
|
Background: |
Long-chain-fatty-acid—CoA ligase ACSBG2 is an enzyme that in humans is encoded by the ACSBG2 gene.Mediates activation of long-chain fatty acids for both synthesis of cellular lipids, and degradation via beta-oxidation. Able to activate long-chain fatty acids. Also able to activate very long-chain fatty acids, however, the relevance of such activity is unclear in vivo. Has increased ability to activate oleic and linoleic acid. May play a role in spermatogenesis. |
|
Applications: |
ELISA, IHC |
|
Name of antibody: |
ACSBG2 |
|
Immunogen: |
Fusion protein of human ACSBG2 |
|
Full name: |
acyl-CoA synthetase bubblegum family member 2 |
|
Synonyms: |
BGR, BRGL, PRTDNY3, PRTD-NY3 |
|
SwissProt: |
Q5FVE4 |
|
ELISA Recommended dilution: |
500-5000 |
|
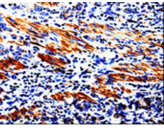
IHC positive control: |
Human stomach cancer |
|
IHC Recommend dilution: |
50-100 |

購物車
幫助
021-54845833/15800441009
