中文名稱(chēng): 兔抗ADAMTS1多克隆抗體
|
Background: |
This gene encodes a member of the ADAMTS (a disintegrin and metalloproteinase with thrombospondin motif) protein family. Members of the family share several distinct protein modules, including a propeptide region, a metalloproteinase domain, a disintegrin-like domain, and a thrombospondin type 1 (TS) motif. Individual members of this family differ in the number of C-terminal TS motifs, and some have unique C-terminal domains. The protein encoded by this gene contains two disintegrin loops and three C-terminal TS motifs and has anti-angiogenic activity. The expression of this gene may be associated with various inflammatory processes as well as development of cancer cachexia. This gene is likely to be necessary for normal growth, fertility, and organ morphology and function. |
|
Applications: |
ELISA, IHC |
|
Name of antibody: |
ADAMTS1 |
|
Immunogen: |
Synthetic peptide of human ADAMTS1 |
|
Full name: |
ADAM metallopeptidase with thrombospondin type 1 motif, 1 |
|
Synonyms: |
C3-C5; METH1 |
|
SwissProt: |
Q9UHI8 |
|
ELISA Recommended dilution: |
2000-5000 |
|
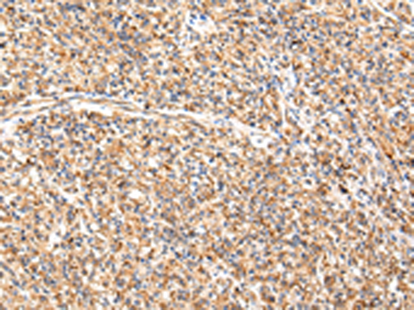
IHC positive control: |
Human prostate cancer |
|
IHC Recommend dilution: |
25-100 |
購(gòu)物車(chē)
幫助
021-54845833/15800441009
