|
Background: |
This gene encodes an interferon regulatory factor-2 (IRF2) binding protein that interacts with the C-terminal transcriptional repression domain of IRF2. Alternative splicing results in multiple transcript variants encoding distinct isoforms. |
|
Applications: |
ELISA, WB, IHC |
|
Name of antibody: |
IRF2BP2 |
|
Immunogen: |
Synthetic peptide of human IRF2BP2 |
|
Full name: |
interferon regulatory factor 2 binding protein 2 |
|
Synonyms: |
CVID14 |
|
SwissProt: |
Q7Z5L9 |
|
ELISA Recommended dilution: |
5000-10000 |
|
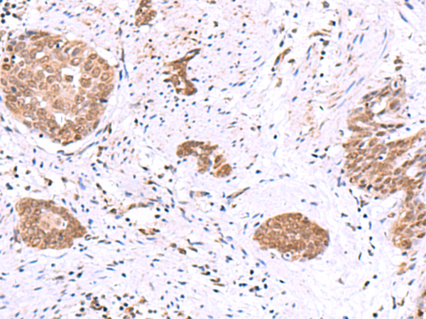
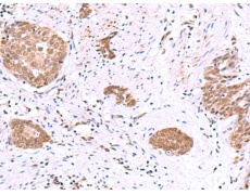
IHC positive control: |
Human esophagus cancer |
|
IHC Recommend dilution: |
30-150 |
|
WB Predicted band size: |
61 kDa |
|
WB Positive control: |
Hela, 293T, Jurkat and HepG2 cell lysates |
|
WB Recommended dilution: |
200-1000 |


購物車
幫助
021-54845833/15800441009
