|
Background: |
This gene encodes a serine/threonine phosphatase which is a member of the protein phosphatase catalytic subunit family. Proteins in this family participate in pathways regulated by reversible phosphorylation at serine and threonine residues; many of these pathways are involved in the regulation of cell growth and differentiation. The product of this gene has been shown to participate in signaling pathways in response to hormones or cellular stress, and elevated levels of this protein may be associated with breast cancer development. Alternative splicing results in multiple transcript variants. |
|
Applications: |
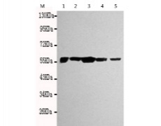
WB |
|
Name of antibody: |
PPP5C |
|
Immunogen: |
Fusion protein of human PPP5C |
|
Full name: |
protein phosphatase 5 catalytic subunit |
|
Synonyms: |
PP5; PPT; PPP5 |
|
SwissProt: |
P53041 |
|
WB Predicted band size: |
57 kDa |
|
WB Positive control: |
Jurkat, 293T, A431, Hela and MCF7 cell lysates |
|
WB Recommended dilution: |
1000-5000 |
購(gòu)物車
幫助
021-54845833/15800441009
