|
Background: |
This gene encodes a member of the DEAD box family of RNA-dependent ATPases that mediate ATP hydrolysis during pre-mRNA splicing. The encoded protein is an essential splicing factor required for association of U2 small nuclear ribonucleoprotein with pre-mRNA, and it also plays an important role in mRNA export from the nucleus to the cytoplasm. This gene belongs to a cluster of genes localized in the vicinity of the genes encoding tumor necrosis factor alpha and tumor necrosis factor beta. |
|
Applications: |
ELISA, WB, IHC |
|
Name of antibody: |
DDX39B |
|
Immunogen: |
Synthetic peptide of humanDDX39B |
|
Full name: |
DEAD (Asp-Glu-Ala-Asp) box polypeptide 39B |
|
Synonyms: |
BAT1; UAP56; D6S81E |
|
SwissProt: |
Q13838 |
|
ELISA Recommended dilution: |
2000-5000 |
|
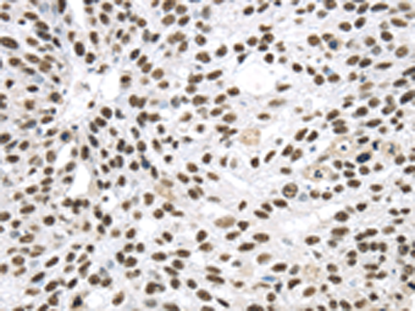
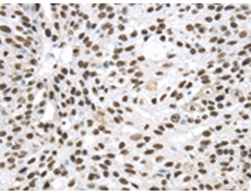
IHC positive control: |
Human breast cancer and Human thyroid cancer |
|
IHC Recommend dilution: |
30-150 |
|
WB Predicted band size: |
49 kDa |
|
WB Positive control: |
A431, SKOV3, 231, Jurkat, HepG2 and Hela cells |
|
WB Recommended dilution: |
500-2000 |

購物車
幫助
021-54845833/15800441009
