中文名稱: 兔抗DUSP16多克隆抗體
|
Background: |
This gene encodes a mitogen-activated protein kinase phosphatase that is a member of the dual specificity protein phosphatase subfamily. These phosphatases inactivate their target kinases by dephosphorylating both the phosphoserine/threonine and phosphotyrosine residues. The encoded protein specifically regulates the c-Jun amino-terminal kinase (JNK) and extracellular signal-regulated kinase (ERK) pathways. |
|
Applications: |
ELISA, IHC |
|
Name of antibody: |
DUSP16 |
|
Immunogen: |
Synthetic peptide of human DUSP16 |
|
Full name: |
dual specificity phosphatase 16 |
|
Synonyms: |
MKP7; MKP-7 |
|
SwissProt: |
Q9BY84 |
|
ELISA Recommended dilution: |
5000-10000 |
|
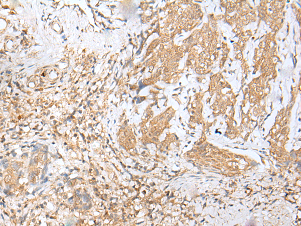
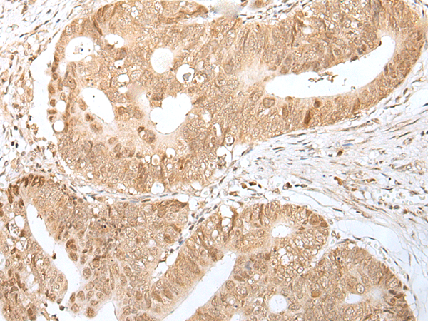
IHC positive control: |
Human lung cancer and human cervical cancer |
|
IHC Recommend dilution: |
25-100 |

購(gòu)物車
幫助
021-54845833/15800441009
