|
Background: |
Mitogen-activated protein (MAP) kinases are a large class of proteins involved in signal transduction pathways that are activated by a range of stimuli and mediate a number of physiological and pathological changes in the cell. Dual specificity phosphatases (DSPs) are a subclass of the protein tyrosine phosphatase (PTP) gene superfamily, which are selective for dephosphorylating critical phosphothreonine and phosphotyrosine residues within MAP kinases. DSP gene expression is induced by a host of growth factors and/or cellular stresses, thereby negatively regulating MAP kinase superfamily members including MAPK/ERK, SAPK/JNK and p38. DUSP22 dephosphorylates ERK2 MAP kinase and JNK. DUSP22 displays highest in thymus, but it is also detectable in monocytes and lymphocytes. |
|
Applications: |
ELISA, IHC |
|
Name of antibody: |
DUSP22 |
|
Immunogen: |
Fusion protein of human DUSP22 |
|
Full name: |
dual specificity phosphatase 22 |
|
Synonyms: |
VHX; JKAP; JSP1; MKPX; JSP-1; MKP-x; LMWDSP2; LMW-DSP2 |
|
SwissProt: |
Q9NRW4 |
|
ELISA Recommended dilution: |
2000-5000 |
|
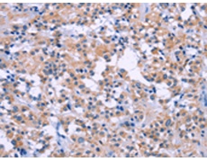
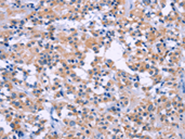
IHC positive control: |
Human thyroid cancer |
|
IHC Recommend dilution: |
50-200 |
購物車
幫助
021-54845833/15800441009
