|
Background: |
GDP-mannose 4,6-dehydratase (GMD; EC 4.2.1.47) catalyzes the conversion of GDP-mannose to GDP-4-keto-6-deoxymannose, the first step in the synthesis of GDP-fucose from GDP-mannose, using NADP+ as a cofactor. The second and third steps of the pathway are catalyzed by a single enzyme, GDP-keto-6-deoxymannose 3,5-epimerase, 4-reductase, designated FX in humans (MIM 137020). |
|
Applications: |
ELISA, IHC |
|
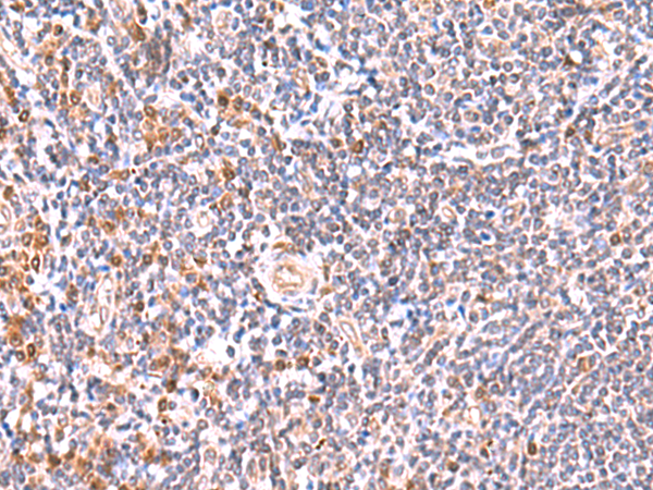
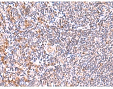
Name of antibody: |
GMDS |
|
Immunogen: |
Fusion protein of human GMDS |
|
Full name: |
GDP-mannose 4,6-dehydratase |
|
Synonyms: |
GMD; SDR3E1 |
|
SwissProt: |
O60547 |
|
ELISA Recommended dilution: |
5000-10000 |
|
IHC positive control: |
Human tonsil |
|
IHC Recommend dilution: |
50-300 |

購(gòu)物車
幫助
021-54845833/15800441009
