中文名稱: 兔抗SLC25A27多克隆抗體
|
Background: |
Mitochondrial uncoupling proteins (UCP) are members of the larger family of mitochondrial anion carrier proteins (MACP). UCPs separate oxidative phosphorylation from ATP synthesis with energy dissipated as heat, also referred to as the mitochondrial proton leak. UCPs facilitate the transfer of anions from the inner to the outer mitochondrial membrane and the return transfer of protons from the outer to the inner mitochondrial membrane. They also reduce the mitochondrial membrane potential in mammalian cells. Tissue specificity occurs for the different UCPs and the exact methods of how UCPs transfer H+/OH- are not known. UCPs contain the three homologous protein domains of MACPs. Transcripts of this gene are only detected in brain tissue and are specifically modulated by various environmental conditions. Alternative splicing results in multiple transcript variants. |
|
Applications: |
ELISA, WB, IHC |
|
Name of antibody: |
SLC25A27 |
|
Immunogen: |
Synthetic peptide of human SLC25A27 |
|
Full name: |
solute carrier family 25 member 27 |
|
Synonyms: |
UCP4 |
|
SwissProt: |
O95847 |
|
ELISA Recommended dilution: |
5000-10000 |
|
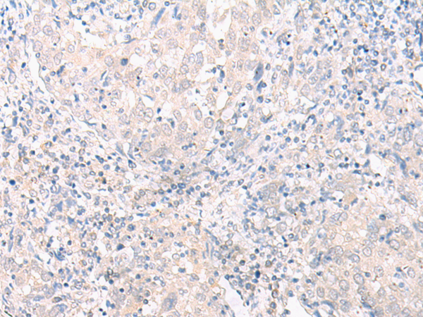
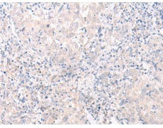
IHC positive control: |
Human cervical cancer |
|
IHC Recommend dilution: |
20-100 |
|
WB Predicted band size: |
36 kDa |
|
WB Positive control: |
Mouse brain tissue and Rat brain tissue lysates |
|
WB Recommended dilution: |
500-2000 |

購物車
幫助
021-54845833/15800441009
