|
Background: |
CTL2, also called SLC44A2 (solute carrier family 44 member 2), is a multi-pass membrane protein expressed in cells of the inner ear. CTL2 is a possible candidate for autoimmune hearing loss in humans. Present in supporting cells of the inner ear (at protein level). Only isoform 3 is expressed in inner ear vestibular tissue. |
|
Applications: |
ELISA, IHC |
|
Name of antibody: |
SLC44A2 |
|
Immunogen: |
Synthetic peptide of human SLC44A2 |
|
Full name: |
solute carrier family 44 (choline transporter), member 2 |
|
Synonyms: |
CTL2; PP1292 |
|
SwissProt: |
Q8IWA5 |
|
ELISA Recommended dilution: |
1000-2000 |
|
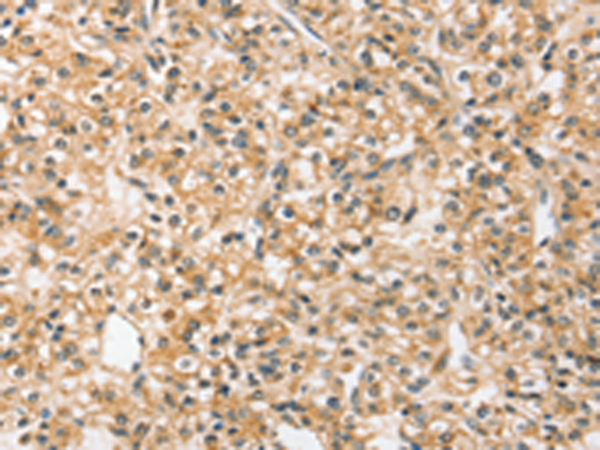
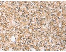
IHC positive control: |
Human prostate cancer and Human liver cancer |
|
IHC Recommend dilution: |
25-100 |
購物車
幫助
021-54845833/15800441009
