|
Background: |
Core component of the SMC5-SMC6 complex, a complex involved in repair of DNA double-strand breaks by homologous recombination. The complex may promote sister chromatid homologous recombination by recruiting the SMC1-SMC3 cohesin complex to double-strand breaks. The complex is required for telomere maintenance via recombination in ALT (alternative lengthening of telomeres) cell lines and mediates sumoylation of shelterin complex (telosome) components which is proposed to lead to shelterin complex disassembly in ALT-associated PML bodies (APBs). Required for recruitment of telomeres to PML nuclear bodies. Required for sister chromatid cohesion during prometaphase and mitotic progression; the function seems to be independent of SMC6. |
|
Applications: |
ELISA, IHC |
|
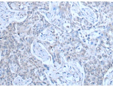
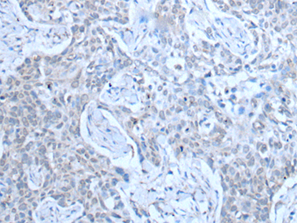
Name of antibody: |
SMC5 |
|
Immunogen: |
Synthetic peptide of human SMC5 |
|
Full name: |
structural maintenance of chromosomes 5 |
|
Synonyms: |
SMC5L1 |
|
SwissProt: |
Q8IY18 |
|
ELISA Recommended dilution: |
5000-10000 |
|
IHC positive control: |
Human colorectal cancer |
|
IHC Recommend dilution: |
25-100 |
購物車
幫助
021-54845833/15800441009
