|
Background: |
Serine/arginine-rich protein-specific kinase which specifically phosphorylates its substrates at serine residues located in regions rich in arginine/serine dipeptides, known as RS domains and is involved in the phosphorylation of SR splicing factors and the regulation of splicing. Promotes neuronal apoptosis by up-regulating cyclin-D1 (CCND1) expression. This is done by the phosphorylation of SRSF2, leading to the suppression of p53/TP53 phosphorylation thereby relieving the repressive effect of p53/TP53 on cyclin-D1 (CCND1) expression. Phosphorylates ACIN1, and redistributes it from the nuclear speckles to the nucleoplasm, resulting in cyclin A1 but not cyclin A2 up-regulation. Plays an essential role in spliceosomal B complex formation via the phosphorylation of DDX23/PRP28. Can mediate hepatitis B virus (HBV) core protein phosphorylation. Plays a negative role in the regulation of HBV replication through a mechanism not involving the phosphorylation of the core protein but by reducing the packaging efficiency of the pregenomic RNA (pgRNA) without affecting the formation of the viral core particles. |
|
Applications: |
ELISA, IHC |
|
Name of antibody: |
SRPK2 |
|
Immunogen: |
Fusion protein of human SRPK2 |
|
Full name: |
SRSF protein kinase 2 |
|
Synonyms: |
SFRSK2 |
|
SwissProt: |
P78362 |
|
ELISA Recommended dilution: |
5000-10000 |
|
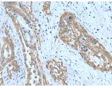
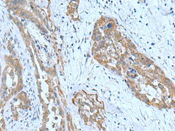
IHC positive control: |
Human thyroid cancer |
|
IHC Recommend dilution: |
100-300 |
購(gòu)物車
幫助
021-54845833/15800441009
