|
Background: |
THAP9 (THAP domain-containing protein 9) is a 903 amino acid protein that contains one THAP-type zinc finger. The gene that encodes THAP9 contains roughly 19,448 bases and maps to human chromosome 4q21.22. Chromosome 4 represents approximately 6% of the human genome and contains nearly 900 genes. Notably, the Huntingtin gene, which is found to encode an expanded glutamine tract in cases of Huntington's disease, is on chromosome 4. FGFR-3 is also encoded on chromosome 4 and has been associated with thanatophoric dwarfism, achondroplasia, Muenke syndrome and bladder cancer. Chromosome 4 is also tied to Ellis-van Creveld syndrome, methylmalonic acidemia and polycystic kidney disease. |
|
Applications: |
ELISA, IHC |
|
Name of antibody: |
THAP9 |
|
Immunogen: |
Synthetic peptide of human THAP9 |
|
Full name: |
THAP domain containing 9 |
|
Synonyms: |
hTh9 |
|
SwissProt: |
Q9H5L6 |
|
ELISA Recommended dilution: |
1000-2000 |
|
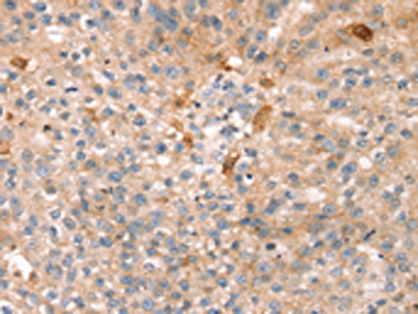
IHC positive control: |
Human breast cancer |
|
IHC Recommend dilution: |
10-50 |
購物車
幫助
021-54845833/15800441009
