|
Background: |
TMEM256, also known as C17orf61, C17orf61 (chromosome 17 open reading frame 61) is a 113 amino acid protein that is encoded by a gene mapping to human chromosome 17. Chromosome 17 makes up over 2.5% of the human genome with about 81 million bases encoding over 1,200 genes. Two key tumor suppressor genes are associated with chromosome 17, namely, p53 and BRCA1. Tumor suppressor p53 is necessary for maintenance of cellular genetic integrity by moderating cell fate through DNA repair versus cell death. Malfunction or loss of p53 expression is associated with malignant cell growth and Li-Fraumeni syndrome. Like p53, BRCA1 is directly involved in DNA repair, specifically it is recognized as a genetic determinant of early onset breast cancer and predisposition to cancers of the ovary, colon, prostate gland and fallopian tubes. Chromosome 17 is also linked to neurofibromatosis, a condition characterized by neural and epidermal lesions, and dysregulated Schwann cell growth. Alexander disease, Birt-Hogg-Dube syndrome and Canavan disease are also associated with chromosome 17. |
|
Applications: |
ELISA, IHC |
|
Name of antibody: |
TMEM256 |
|
Immunogen: |
Fusion protein of human TMEM256 |
|
Full name: |
transmembrane protein 256 |
|
Synonyms: |
C17orf61 |
|
SwissProt: |
Q8N2U0 |
|
ELISA Recommended dilution: |
5000-10000 |
|
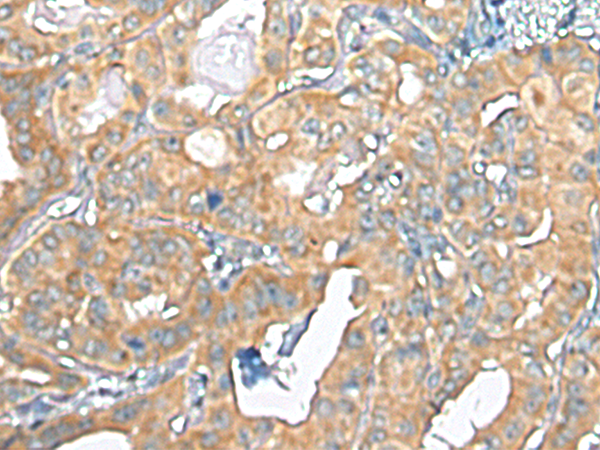
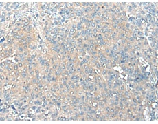
IHC positive control: |
Human thyroid cancer and Human liver cancer |
|
IHC Recommend dilution: |
25-100 |

購(gòu)物車
幫助
021-54845833/15800441009
