|
Background: |
This gene product plays a role in vesicular transport of proteins to the Golgi apparatus from the endoplasmic reticulum. The encoded protein is a component of the multisubunit transport protein particle (TRAPP) complex. Alternative splicing results in multiple transcript variants. |
|
Applications: |
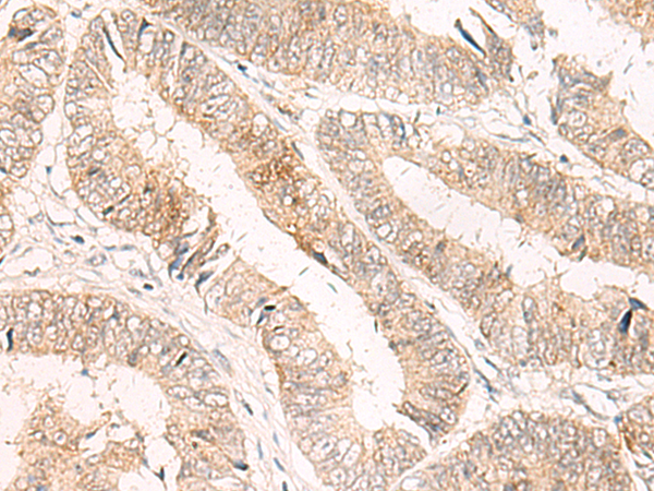
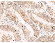
ELISA, IHC |
|
Name of antibody: |
TRAPPC1 |
|
Immunogen: |
Fusion protein of human TRAPPC1 |
|
Full name: |
trafficking protein particle complex 1 |
|
Synonyms: |
BET5; MUM2 |
|
SwissProt: |
Q9Y5R8 |
|
ELISA Recommended dilution: |
5000-10000 |
|
IHC positive control: |
Human tonsil and Human colorectal cancer |
|
IHC Recommend dilution: |
50-300 |

購(gòu)物車
幫助
021-54845833/15800441009
