中文名稱:兔抗CA10多克隆抗體
|
Background: |
This gene encodes a protein that belongs to the carbonic anhydrase family of zinc metalloenzymes, which catalyze the reversible hydration of carbon dioxide in various biological processes. The protein encoded by this gene is an acatalytic member of the alpha-carbonic anhydrase subgroup, and it is thought to play a role in the central nervous system, especially in brain development. Multiple transcript variants encoding the same protein have been found for this gene. |
|
Applications: |
ELISA, IHC |
|
Name of antibody: |
CA10 |
|
Immunogen: |
Fusion protein of human CA10 |
|
Full name: |
carbonic anhydrase X |
|
Synonyms: |
CARPX; CA-RPX; HUCEP-15 |
|
SwissProt: |
Q9NS85 |
|
ELISA Recommended dilution: |
2000-5000 |
|
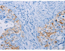
IHC positive control: |
Human cervical cancer |
|
IHC Recommend dilution: |
25-100 |

購物車
幫助
021-54845833/15800441009
