中文名稱:兔抗CCNI多克隆抗體
英文名稱: Anti-CCNI rabbit polyclonal antibody
別 名: cyclin I; CYI; CYC1; CCNI1
相關類別: 一抗
儲 存: 冷凍(-20℃)
宿 主: Rabbit
抗 原: CCNI
反應種屬: Human, Mouse
|
Background: |
The protein encoded by this gene belongs to the highly conserved cyclin family, whose members are characterized by a dramatic periodicity in protein abundance through the cell cycle. Cyclins function as regulators of CDK kinases. Different cyclins exhibit distinct expression and degradation patterns which contribute to the temporal coordination of each mitotic event. This cyclin shows the highest similarity with cyclin G. The transcript of this gene was found to be expressed constantly during cell cycle progression. |
|
Applications: |
ELISA, IHC |
|
Name of antibody: |
CCNI |
|
Immunogen: |
Fusion protein of human CCNI |
|
Full name: |
cyclin I |
|
Synonyms: |
CYI; CYC1; CCNI1 |
|
SwissProt: |
Q14094 |
|
ELISA Recommended dilution: |
5000-10000 |
|
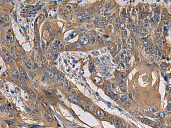
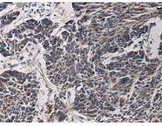
IHC positive control: |
Human esophagus cancer and Human colorectal cancer |
|
IHC Recommend dilution: |
50-200 |


購物車
幫助
021-54845833/15800441009
