中文名稱:兔抗YWHAG多克隆抗體
|
Background: |
This gene product belongs to the 14-3-3 family of proteins which mediate signal transduction by binding to phosphoserine-containing proteins. This highly conserved protein family is found in both plants and mammals, and this protein is 100% identical to the rat ortholog. It is induced by growth factors in human vascular smooth muscle cells, and is also highly expressed in skeletal and heart muscles, suggesting an important role for this protein in muscle tissue. It has been shown to interact with RAF1 and protein kinase C, proteins involved in various signal transduction pathways. |
|
Applications: |
ELISA, WB, IHC |
|
Name of antibody: |
YWHAG |
|
Immunogen: |
Synthetic peptide of human YWHAG |
|
Full name: |
tyrosine 3-monooxygenase/tryptophan 5-monooxygenase activation protein, gamma polypeptide |
|
Synonyms: |
14-3-3GAMMA |
|
SwissProt: |
P61981 |
|
ELISA Recommended dilution: |
2000-10000 |
|
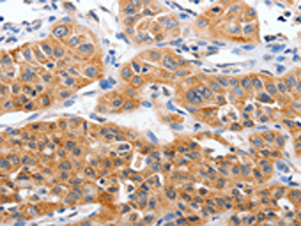
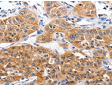
IHC positive control: |
Human lung cancer and Human brain |
|
IHC Recommend dilution: |
50-200 |
|
WB Predicted band size: |
28 kDa |
|
WB Positive control: |
293T and Jurkat cells |
|
WB Recommended dilution: |
1000-5000 |

購物車
幫助
021-54845833/15800441009
