中文名稱:兔抗ZNF43多克隆抗體
|
Background: |
This gene belongs to the C2H2-type zinc finger gene family. The zinc finger proteins are involved in gene regulation and development, and are quite conserved throughout evolution. Like this gene product, a third of the zinc finger proteins containing C2H2 fingers also contain the KRAB domain, which has been found to be involved in protein-protein interactions. |
|
Applications: |
ELISA, IHC |
|
Name of antibody: |
ZNF43 |
|
Immunogen: |
Fusion protein of human ZNF43 |
|
Full name: |
zinc finger protein 43 |
|
Synonyms: |
HTF6; KOX27; ZNF39L1 |
|
SwissProt: |
P17038 |
|
ELISA Recommended dilution: |
5000-10000 |
|
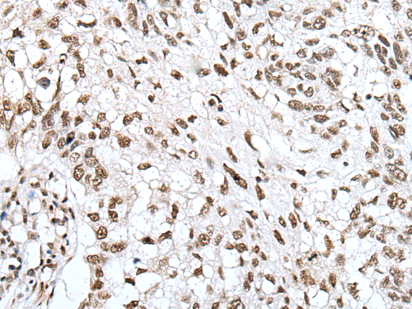
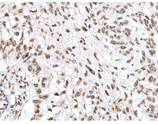
IHC positive control: |
Human lung cancer and human brain |
|
IHC Recommend dilution: |
25-100 |

購(gòu)物車(chē)
幫助
021-54845833/15800441009
