中文名稱:小鼠抗KRT17單克隆抗體
|
Background: |
This gene encodes the type I intermediate filament chain keratin 17, expressed in nail bed, hair follicle, sebaceous glands, and other epidermal appendages. Mutations in this gene lead to Jackson-Lawler type pachyonychia congenita and steatocystoma multiplex. |
|
Applications: |
WB, IHC |
|
Name of antibody: |
KRT17 |
|
Immunogen: |
Fusion protein of human KRT17 |
|
Full name: |
keratin 17 |
|
Synonyms: |
PC; K17; PC2; 39.1; CK-17; PCHC1 |
|
SwissProt: |
Q04695 |
|
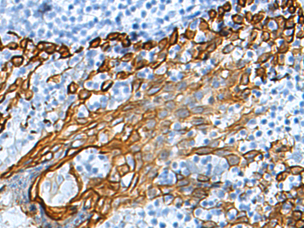
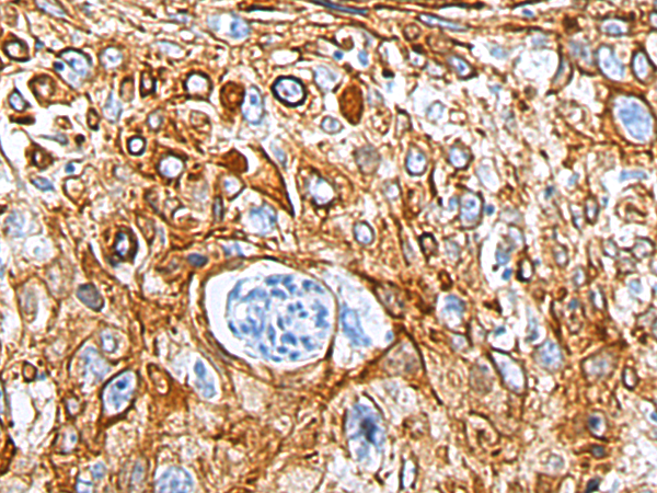
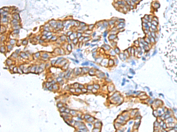
IHC positive control: |
Human tonsil and Human cervical cancer; Human thyroid cancer and Human liver cancer |
|
IHC Recommend dilution: |
100-500 |
|
WB Predicted band size: |
48 kDa |
|
WB Positive control: |
HepG2 cell lysate |
|
WB Recommended dilution: |
10000-50000 |


購物車
幫助
021-54845833/15800441009
