|
Background: |
Potassium channels play a role in many cellular processes including maintenance of the action potential, muscle contraction, hormone secretion, osmotic regulation, and ion flow. This gene encodes a member of the superfamily of potassium channel proteins containing two pore-forming P domains and the encoded protein functions as an outward rectifying potassium channel. A mutation in this gene has been found to be associated with migraine with aura. |
|
Applications: |
ELISA, WB, IHC |
|
Name of antibody: |
KCNK18 |
|
Immunogen: |
Synthetic peptide of human KCNK18 |
|
Full name: |
potassium two pore domain channel subfamily K member 18 |
|
Synonyms: |
TRIK; MGR13; TRESK; TRESK2; K2p18.1; TRESK-2 |
|
SwissProt: |
Q7Z418 |
|
ELISA Recommended dilution: |
5000-10000 |
|
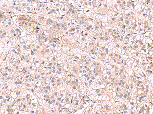
IHC positive control: |
Human liver cancer |
|
IHC Recommend dilution: |
70-350 |
|
WB Predicted band size: |
44 kDa |
|
WB Positive control: |
TM4 cell lysate |
|
WB Recommended dilution: |
500-2000 |


購物車
幫助
021-54845833/15800441009
