|
Background: |
May play a role as co-chaperone of the Hsp70 family proteins HSPA1A, HSPA1B and HSPA8. |
|
Applications: |
ELISA, WB, IHC |
|
Name of antibody: |
DNAJC9 |
|
Immunogen: |
Synthetic peptide of human DNAJC9 |
|
Full name: |
DnaJ heat shock protein family (Hsp40) member C9 |
|
Synonyms: |
JDD1; SB73; HDJC9 |
|
SwissProt: |
Q8WXX5 |
|
ELISA Recommended dilution: |
5000-10000 |
|
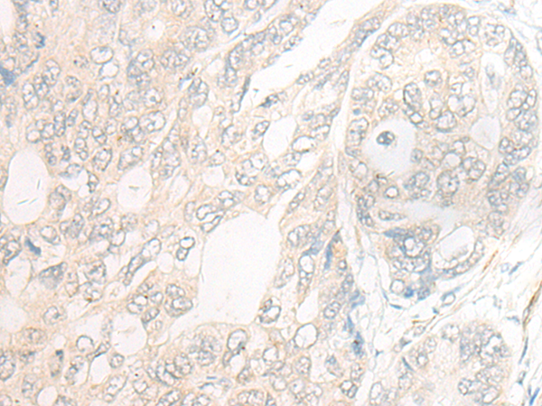
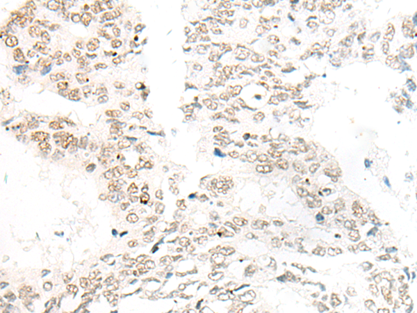
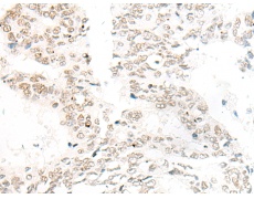
IHC positive control: |
Human colorectal cancer and Human gastric cancer |
|
IHC Recommend dilution: |
20-100 |
|
WB Predicted band size: |
30 kDa |
|
WB Positive control: |
Human tonsil tissue lysate |
|
WB Recommended dilution: |
200-1000 |


購物車
幫助
021-54845833/15800441009
