中文名稱: 兔抗UBE2D3多克隆抗體
|
Background: |
The modification of proteins with ubiquitin is an important cellular mechanism for targeting abnormal or short-lived proteins for degradation. Ubiquitination involves at least three classes of enzymes: ubiquitin-activating enzymes, or E1s, ubiquitin-conjugating enzymes, or E2s, and ubiquitin-protein ligases, or E3s. This gene encodes a member of the E2 ubiquitin-conjugating enzyme family. This enzyme functions in the ubiquitination of the tumor-suppressor protein p53, which is induced by an E3 ubiquitin-protein ligase. Multiple spliced transcript variants have been found for this gene, but the full-length nature of some variants has not been determined. |
|
Applications: |
ELISA, WB, IHC |
|
Name of antibody: |
UBE2D3 |
|
Immunogen: |
Full length fusion protein |
|
Full name: |
ubiquitin conjugating enzyme E2D 3 |
|
Synonyms: |
UBC4/5; UBCH5C; E2(17)KB3 |
|
SwissProt: |
P61077 |
|
ELISA Recommended dilution: |
5000-10000 |
|
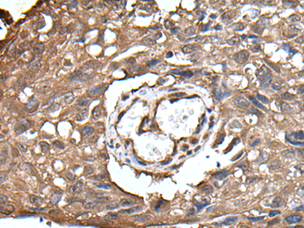
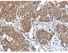
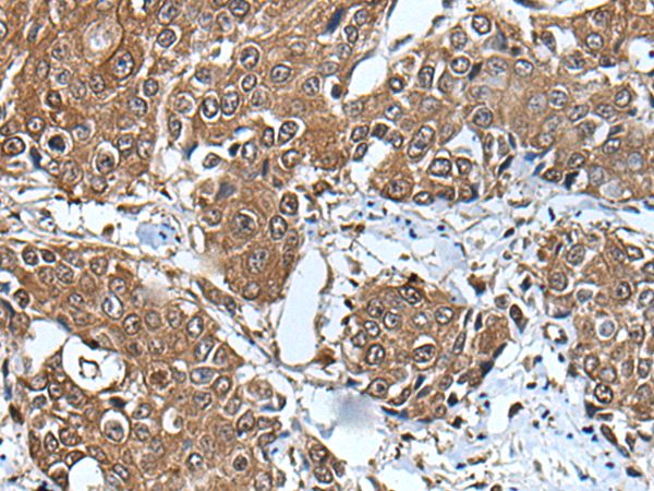
IHC positive control: |
Human colorectal cancer and human tonsil |
|
IHC Recommend dilution: |
25-100 |
|
WB Predicted band size: |
17 kDa |
|
WB Positive control: |
NIH/3T3 cell lysate |
|
WB Recommended dilution: |
200-1000 |


購物車
幫助
021-54845833/15800441009
